Technician's Gallery: Full Mouth Fabrication and Reconstruction
Posted Apr 28, 2011 in Technical
Andre Michel, owner of Andre's Dental Stuio, Dana Point, CA details a case he fabricated using pressed IPS e.max crowns and bridges.
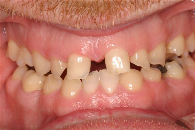
One of only 20 technicians accredited by the American Academy of Cosmetic Dentistry, Andre Michel, owner of Andre's Dental Studio, a boutique laboratory in Dana Point, California, specializes in smile design and full mouth reconstruction. Here, he details a case he and Dr. Jeffrey Barrera from Rancho Santa Margarita, California, restored using pressed IPS e.max® crowns and bridges for a male patient who had extensive wear, exposed dentin and extremely poor esthetics.
Using the records, face bow, photography and desired vertical dimension provided by Barrera, Michel created a diagnostic waxup. After the patient wore the temporaries for several weeks and adjustments were made, Michel pressed 16 crowns and two three-unit bridges to full contour. He used a minimal cut-back technique and added the internal effects...


