How to Use GC America's One Body Concept Porcelain
Posted Apr 28, 2011 in Technical
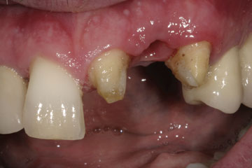
Restorative Problem
A male patient needed a maxillary bridge on teeth #9 to #11, with #10 as an ovate pontic. We had to match the A2 shade of existing crowns on #6 and #7, as well as the orange mamelon on natural tooth #8 (which was accomplished with the LSK121 Chair Side Shade Selection Guide as shown below).
Treatment Plan
Like most technicians, I've always used the multi-layering technique for anterior teeth. But for this case, I decided to try GC's One Body Concept, which is a one-color porcelain build-up system that doesn't require enamel translucency build-up (see below for details). Natural translucency and mamelon are replicated with the addition of Lustre Paste, which has a thicker consistency and is baked at a lower temperature over the One Body color application, so a layering effect is created.
About the One Body Concept
Like most technicians, I've always used the multi-layering technique for anterior teeth, but the new GC Initial...


