Avante and 3G Pressable Ceramic Systems From Pentron Ceramics, Inc.
Posted Apr 28, 2011 in Technical
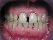
RESTORATIVE CHALLENGE: A 40-year-old male presented with esthetically compromised PFM restorations on teeth #8 and #9. The patient also requested improved alignment and closure of diastemas between the maxillary and mandibular anterior teeth (see Figure 1). Invisalign orthodontic treatment was provided prior to fabrication of the final pressed all-ceramic restorations.
Restorative team: William Mrazek, BS, CDT, Mrazek Prosthodontics, Ltd., Naperville, Illinois and Joseph O'Donnell, DDS, Oak Forest, Illinois
Treatment plan: It was decided that teeth #8 and #9 would be prepared to receive full-coverage 3G-HS all-ceramic crowns. Teeth #6, #7, #10 and #11 were restoration free and would be prepared to accept a more conservative treatment--Avanté pressed porcelain laminate veneers.
Each of the veneers would be contoured to mesially close the adjacent diastemas, allowing the central incisors to also be shifted...

