Noritake Press-to-Zirconia From Darby
Posted Apr 28, 2011 in Technical
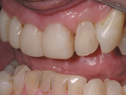
RESTORATIVE CHALLENGE: A middle-aged male patient presented with a failing three-unit PFM bridge on teeth #6-8 (see Figure 1).
Restorative team: Brian Lindke, CDT, Beautiful Smiles by VIVIDX, Inc., and Tim Resuta, DDS, both of Atlanta, Georgia
Treatment plan: Preliminary study casts were made and sent to the laboratory. The casts were mounted, then evaluated to determine treatment options. The team decided to replace the existing bridge with a CZR PRESS bridge. At the laboratory's request, Dr. Resuta also prescribed a pressable veneer on tooth #9 to ensure a more predictable, esthetic outcome.
Noritake CZR PRESS was chosen because of its many indications. It can be pressed over zirconium frames, and simultaneously pressed as a veneer, using the same ingot, within the same pressing ring. The team determined that the bridge framework would be fabricated from 3M ESPE's Lava zirconium-oxide material. The framework ends at...

